Adresa:
Bine ati venit,
Cabinet Dentar pentru copii in Lugoj DR.Sarbu Ovidiu
Stomatolog pentru copii in Lugoj
Este important sa mentinem sanatatea dintilor de lapte. Cariile neglijate pot si de obicei chiar duc la probleme ce afecteaza permanent dezvoltarea dintilor.
Prioritatea noastra, a celor de la cabinetul stomatologic, este sa ne manifestam grija fata de dentitia copiilor tai, concentrandu-ne pe preventie, pe tratamente de calitate si pe o motivare pozitiva. Mai multe...
Cabinet stomatologic pentru copii in Lugoj
Tratament si servicii stomatologice pentru copii in Lugoj
Aparate dentare pentru copii in Lugoj
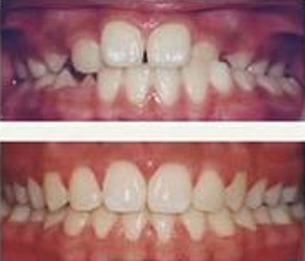
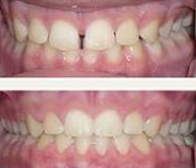
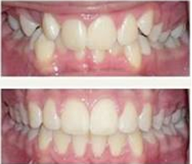
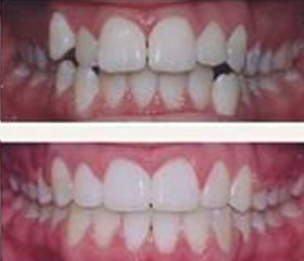
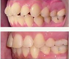
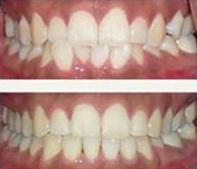
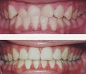
Ortodontia trateaza problemele de malocluzie si malpozitie dentara (inchiderea sau ocluzia incorecta a celor doua arcade si pozitionarea incorecta a dintilor pe arcada. Mai multe...
Ortodontie pentru copii in Lugoj
Tratament si servicii ortodontice
- - Consultatii pentru aparate dentare - copii si adulti
- - Diagnostic si plan de tratament pentru aparate dentare Lugoj
- - Aparate dentare fixe ortodontice
- - Aparate dentare mobile
- - Aparate dentare estetice
- - Aparate dentare invizibile
- - Aparate dentare personalizate prin sistem Insignia cu bracketi Damon
- - aparate dentare pentru copii in Lugoj - plata in rate
Ortodontia rezolva probleme legate de inghesuiri dentare, angrenaje inverse, rotatii dentare, dinti nealiniati pe arcade, etc. Malpozitiile dentare afecteaza si fizionomia, astfel incat tratamentul ortodontic este direct implicat in rezolvarea problemelor de estetica dentara cat si a celor functionale. Astfel, malpozitiile dentare pot afecta negativ articulatia temporo-mandibulara, pot provoca dureri la masticatie; alinierea dentara usureaza semnificativ igiena dentara, fiind redus astfel riscul de carie.
Aceste obiective pot fi atinse cu ajutorul aparatelor ortodontice, care se impart in mai multe categorii: mobile, mobilizabile si fixe. Daca primele 2 tipuri se adreseaza copiilor pana la 12-14 ani si anomaliilor usoare, aparatele fixe sunt utilizate pentru o pozitionare perfecta a dintilor chiar si in cele mai dificile anomalii. Aparatele fixe utilizate in cabinetul nostru sunt pozitionate pe fata externa (vizibila) a dintilor si pot fi compuse din brackets metalici sau ceramici pentru un efect fizionomic cat mai placut. Vom oferi pacientilor nostri si posibilitatea alegerii unor aparate ortodontice fixe pozitionate pe fata interioara (dinspre limba) a dintilor, in acest caz aceste aparate fiind complet fizionomice.
Primele zile de dupa aplicarea aparatului dentar fix va recomandam urmatoarele:
1. Folositi ceara de protectie pe toate zonele aparatului care jeneaza buzele, obrajii sau limba. Daca tensiunea resimtita in prima zi este mare, puteti lua un antiinflamator sau un analgezic (Nurofen, Paracetamol) pentru a o reduce, respectand indicatiile medicului asupra dozei si frecventei; Folositi o alimentatie de consistenta mai redusa, in special in primele zile;Respectati indicatiile privind igiena aparatului si incercati ca ele sa devina in scurt timp o rutina( periaj orizontal pe zonele cu bracketuri si utilizare periutei interdentare, folosirea dusului bucal)
2. Evitati alimentele dure sau lipicioase ce pot deteriora aparatul (guma de mestecat, caramele, alune, fistic, covrigi, fructe tari etc).
3. Nu se va musca din nici un aliment folosind dintii din fata - alimentele se rup sau se taie in bucati si se mesteca pe dintii posteriori.
4. In unele etape de tratament este posibil ca medicul dvs sa va indice purtarea unor elastice. Respectati indicatiile privind modul de aplicare si numarul de ore de purtare zilnica!
5. Daca se desprinde un inel sau un bracket, acesta se va pastra, fiind repozitionat de catre medicul specialist ortodont la urmatorul control.
6. Capatul legaturilor metalice este de obicei rasucit sub arc. Daca in cursul periajului sau alimentatiei acesta se deplaseaza si devine iritant pentru obraz sau limba, incercati sa il impingeti la loc cu degetul, sau utilizati ceara ortodontica pentru a-l acoperi.
Pentru a raspunde celor mai exigente nevoi estetice, in cazul anomaliilor mai putin severe oferim pacientilor nostri posibilitatea tratamentului cu un aparat ortodontic complet transparent si invizibil, care este pozitionat pe arcadele dentare si care venind in contact cu dintii, ii duce in pozitiile dorite. Aceste aparate sunt deosebit de precise, fiind realizate in laboratoare specializate din strainatate cu care suntem in parteneriat, pe baza modelelor furnizate de catre cabinetul ortodontic.
Tratamentul ortodontic este posibil la orice varsta. Singura conditie necesara este ca sa nu existe boli generale sau acestea sa fie compensate ( de exemplu in cazul diabetului glicemia sa fie in limite normale o perioada mai lunga de timp). O alta contraindicatie o reprezinta afectiunile care anchilozeaza (sudeaza) dintii de os sau care modifica comportamentul normal al unor celule osoase specializate (cazuri foarte rare). La copii tratamentul ortodontic este in general inceput in timpul dentitiei mixte, adica dupa varsta de 6-7 ani. In cazul descoperirii unor obiceiuri vicioase care pot deforma arcadele dentare si dauna alinierii dintilor, exista unele aparate care pot contracara aceste obiceiuri si implicit pot preveni aparitia unor probleme ortodontice mai grave in viitor.
In general deplasarea dentara se produce mai rapid la copii si mai lent la adulti. Uneori in timpul deplasarilor dentare pot aparea usoare senzatii de jena sau tensiune pe care adultii uneori le acuza, spre deosebire de copii unde aceste fenomene sunt mult diminuate sau inexistente.
Obiceiurile vicioase sunt unele gesturi facute de copii, repetate constient sau nu de foarte multe ori pe zi, care au drept efect deformarea arcadelor dentare sau modificarea pozitiei dintilor. Exemple de obiceiuri vicioase:
1) Sugerea degetului dupa varsta de 3-4 ani;
2) Aspiratia buzei inferioare - apare de obicei in asociere cu un alt obicei vicios: Respiratia orala - cel mai frecvent se datoreaza vegetatiilor adenoide sau "polipilor" nazali, deviatiilor de sept, etc;
3) Deglutitia atipica ( interpunerea limbii intre dintii din fata in momentul inghitirii);
4) Prin diverse mecanisme, toate aceste obiceiuri aparent inofensive pot deforma arcadele dentare sau oasele maxilare ale copilului ducand la probleme mult mai mari la varste mai mari. De aceea este important in urma unui control la cabinetul ortodontic sa le identificam si urmand sfatul medicului specialist ortofont sa le eliminati din viata copilului dumneavoastra. Uneori simpla discutie si supraveghere poate rezolva problema, alteori poate fi nevoie si de aparatele dentare ortodontice special concepute in acest scop.

Bracketii aparatelor dentare estetice din ceramica nu sunt la fel de vizibili ca cei de metal. Aparatele dentare estetice din ceramica pot fi mai costisitoare decat cele din metal, dar arata mai bine. Mai multe...

Invisalign este un aparat dentar invizibil care in fiecare etapa foloseste cate o gutiera transparenta si pe parcurs dintii. Mai multe...
Cum iti poti da seama daca copilul tau are nevoie de un tratament ortodontic?
Uneori, semnele care sugereaza nevoie unui tratament ortodontic pot fi subtile.
- Intarzierea aparitiei dintilor permanenti;
- Copilul Dvs are obiceiuri viciose: sugerea degetului, respiratia orala (pe gura);
- Arcade dentare inegal sau asimetric;
- Dinti inghesuiti;
- Iesire laterala exterioara sau spre interior;
paratele dentare mobile, spre deosebire de dispozitivele conventionale, sunt folosite pentru a mentine dintii in pozitia corecta si, in unele cazuri, pentru a influenta cresterea faciala pentru a se realiza modificari ale structurii faciale, in plus se pot utiliza inainte sau in combinatie cu aparate fixe.
Aparatele dentare mobile nu sunt folosite pentru a trata toate problemele ortodontice. Varsta pacientului este, de asemenea, foarte importanta. Mai multe...

Sistemul Damon nu se refera numai la bracketii si firele revolutionare, este un mod cu totul nou de a trata pacientii. Tratamentul traditional necesita utilizarea expansiunii palatale sau extractia unor dinti (in principiu 4 premolari pentru a se rezolva inghesuirile). Aceasta abordare este deseori inconfortabila si dureaza mai mult. Cu Sistemul Damon obtinem un zambet plin, natural si sunt special concepute pentru a imbunatati rezultatul facial al fiecarui pacient. Mai multe...
APARATE DENTARE PERSONALIZATE DIGITALE SISTEM INSIGNIA CU BRACKETI DAMON Lugoj
Bracketii sistemului Insignia au fost conceputi pentru confortul pacientului si performanta clinica. Brachetii si arcurile sistemului Insignia sunt personalizate pentru fiecare pacient. Mai multe ...
Simplitate
- Deschiderea si inchiderea usoara a dispozitivului de auto-ligaturare
- Configurarea personalizata de lipire indirecta.
Mai multe...
Eficienta
- Bracketii sistemului Insignia sunt proiectati pentru a reduce la minimum numarul de vizite necesare pentru un tratament ortodontic eficient.
Mai multe...
PROBLEME ORTODONTICE
Strada Banatului 2
CABINET MEDICAL DE MEDICINA DENTARA DR. Sarbu Ovidiu
Orarul cabinetului stomatologic este doar pe baza de programari telefonic.
Programare pentru stomatologie dr Ovidiu Sarbu: 0723 013 571
Programare pentru ortodontie (aparat dentar) pentru copii:
0755 41 00 00
Va asteptam cu drag
In perioada pandemiei, in cazul in care Dvs sau copilul Dvs este programat la consult, va rugam sa va prezentati la clinica cu certificatul digital european ( codul qr/pasaport verde) sau adeverinta de vaccinare. Va multumim



